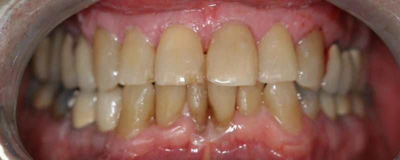
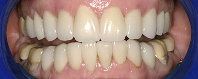
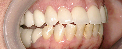
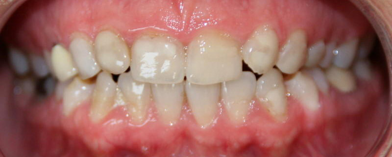
Smile Gallery

We offer a variety of restorative and cosmetic dentistry options at our practice designed to give you safe, effective and long-lasting results. If you are unhappy with your smile, our dentists will create a customized treatment plan specific to your needs. We have helped many of our patients achieve beautiful smiles through several procedures including porcelain veneers, teeth whitening, porcelain crowns and full smile makeover treatments.

Take a look through our smile gallery below which includes before and after photos featuring some of our patients. For more information on our state-of-the-art treatment options and what we can do for your smile, or to schedule an appointment, please contact our practice today.

Scroll to Top